Оптимизация изображения на УЗИ артерий нижних конечностей у пациентов с ожирением

 

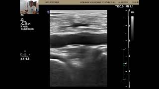
УЗИ артерий нижних конечностей у пациентов с ожирением вызывает сложности у многих врачей ультразвуковой диагностики. Получение качественного изображения становится нелегкой задачей для диагноста из-за особенностей физического состояния пациентов с избыточной массой тела. Оптимизация изображения является ключевым фактором для достижения четкого и детализированного изображения, что, в свою очередь, позволяет проводить более точные измерения и ставить достоверные диагнозы. На мастер-классе с Константином Князевым, преподавателем и клиническим специалистом компании MEDLIGA, продемонстрируем процесс оптимизации изображения на примере ультразвукового аппарата Mindray DC-45. В ходе мастер-класса доктор покажет различные методы настройки аппарата, которые помогут улучшить качество изображения при исследовании артерий нижних конечностей у пациентов с избыточным весом. Эти методы можно применять не только на УЗИ сканерах Mindray, но и на аппаратах других производителей, что делает полученные знания универсальными и полезными для широкого круга специалистов. УЗИ аппарат Mindray DC-45 на сайте MEDLIGA -
По вопросам медицинского оборудования пишите нам и звоните по тел.: 8 (800) 775-86-32, поможем с выбором необходимой медицинской техники под ваши задачи и бюджет. Обзор УЗИ аппарата Mindray DC-45 -    • Mindray DC-45 - обзор УЗИ аппарата  . Оптимизация изображения на УЗИ желчного и мочевого пузыря на Mindray DC-45 -    • Оптимизация изображения на УЗИ желчно...  . Оптимизация изображения во время УЗИ молочных желез -    • Оптимизация изображения во время УЗИ ...  . Оптимизация изображения во время исследования щитовидной железы -    • Оптимизация изображения во время иссл...  . Подписывайтесь на канал YouTube -    / @medliga   Вконтакте - https://vk.com/med.liga
Телеграм -
00:05 - Приветствие. 00:33 - Начало исследования артерий. Пресет и датчик. 01:04 - Инструменты оптимизации изображения. 01:57 - Цветопотоковая визуализация. 03:27 - Настройка PW-допплера. Спектрограмма. 05:17 - Заключение. #мастеркласс #узи #medliga #mindray #узисосудов #узиартерий